Рубрики
МЕНЮ
Slava Kot
Видео, на котором женщина рождает ребенка внутри аппарата магнитно-резонансной томографии, снова стало вирусным в сети. Запись была сделана в рамках научного исследования 2010 года.

Рождение ребенка под МРТ. Фото из открытых источников
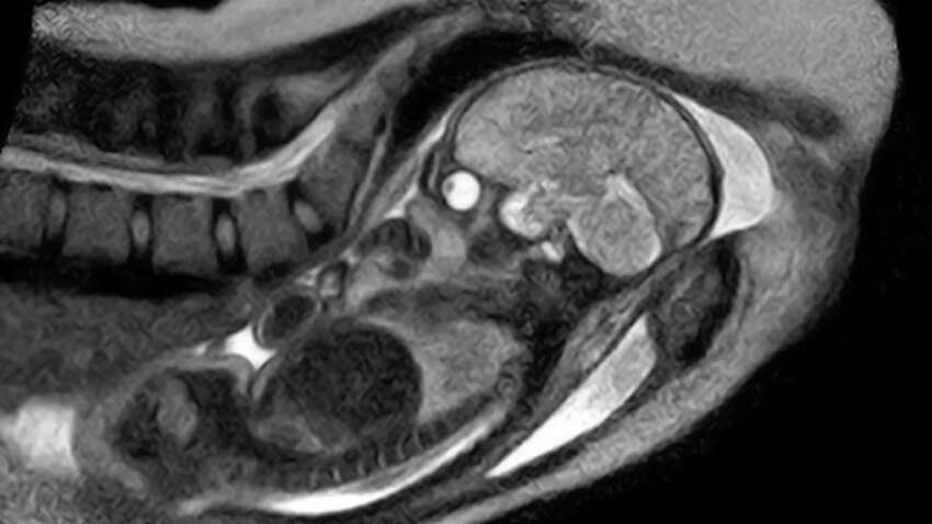
Впервые в истории женщина в Германии согласилась рожать в аппарате МРТ, чтобы ученые могли в реальном времени увидеть, как проходит этот сложный физиологический процесс. Исследование возглавил доктор медицины Кристиан Бамберг из университетской клиники "Шарите" в Берлине. Результаты были опубликованы в статье "Наблюдение за рождением человека посредством открытой магнитно-резонансной томографии в режиме реального времени".
Последние 45 минут родов зафиксировали серией снимков МРТ, которые впоследствии смонтировали в 25-секундное ускоренное видео. На нем видны финальные схватки, движения внутренних органов матери и появление головки ребенка. Запись позволила медикам впервые с высокой точностью увидеть положение плода и его путь через родовые пути.
По словам акушерки-гинеколога Марджори Гринфилд, такие наблюдения могут помочь врачам лучше понять природные роды и уменьшить потребность в кесаревом сечении.
Ранее портал "Комментарии" сообщал о случае, когда женщина родила ребенка, которого вынашивала в печени. Уникальный случай произошел с 19-летней девушкой из Перу.
Также "Комментарии" писали об ужасном инциденте в США, когда мужчину насмерть затянул аппарат МРТ.